歯周病は歯周組織の1つである歯肉の炎症から始まり、初期においては、まだ歯周ポケット(歯と歯茎の間の隙間)が浅いですが、さらに歯周炎が進むと歯根膜が壊され歯槽
骨の吸収や歯の動揺が見られます。末期になると、歯周ポケットの深化と歯槽骨の吸収が著しくなり、口臭を伴うと共に、ついには歯を失うことになります。

■あなたの歯は大丈夫? (チェックしてみましょう) 

1. 歯を磨くと血が出る
2. 歯ぐきが赤くなって炎症をおこしている
3. 歯ぐきが腫れてそこから膿みが出る
4. 触れたり押したりすると痛みがある
5. 歯がぐらついてきた
6. 歯を磨いても口臭がある
7. 歯石が沈着している
8. 歯が移動して歯並びが悪くなった
 ◎これらのいずれかに、症状があてはまれば歯周病が始まっています。 

■歯周病の歯ぐき
【健康な歯と歯ぐき】 
健康な歯は、歯と歯ぐきがしっかりくっついており、細菌の入る隙間がなく引き締まってピンク色をしています 
【歯周病にかかっている状態】 
歯と歯ぐきの間に隙間ができ計測用の器具を入れると深く侵入できる位の歯周ポケットと呼ばれる空間ができてきます 

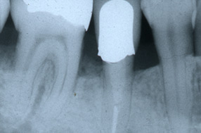
■歯周病は何が原因となるのでしょう?
 歯周病の原因はプラーク (歯垢) です。プラークは歯を磨かないでいるとネバネバしてきますが、単なる食べかすではなく70%が細菌の塊です。このプラークがつきっぱなしになっていると細菌の増殖、歯及び歯ぐきの炎症の原因となります。

 このままにしておくと、やがては歯の骨を溶かして歯が抜けてしまう事になるのです。


矢印の乳白色の部分がプラーク(歯垢)です

■再生治療について?

 比較的軽い歯周病であれば、歯と歯の周りをしっかり清掃して清潔に保つ治療を継続していく事で治る場合もあります。
しかし、炎症等の症状が進行し歯周組織の破壊や骨の吸収などがみられれば歯周組織の再生・回復のための処置 (歯周外科手術)が必要となります。

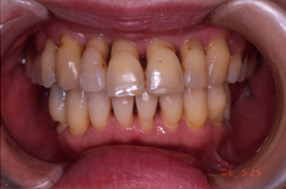
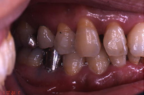
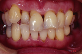
■歯周病治療例


歯周病の進行に伴う歯肉の
炎症と歯の移動が見られます。


歯周外科手術と同時に矯正で
歯周組織の再生と審美回復と
なりました。


歯周病・インプラント・一般診療・顎関節症・審美治療・咬合なら東京渋谷の武田歯科医院におまかせください
Copyright(c) 2007 TAKEDA DENTAL CLINIC All rights reserved.