インプラント治療とは?
人工歯根を骨の中へ埋め込み、その上に歯を作る治療を指します。インプラントは生体と親和性が高い純チタン金属でできています。
従来の治療とインプラント治療
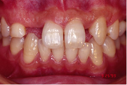
欠損歯がある場合、従来は健康な歯を削ってブリッジ等で補ってきましたが、欠損部にインプラントを埋入する事により、削る事なく普通の歯と同様に噛む事ができます。
インプラントの治療期間
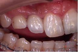
インプラントを骨に埋める処置をしてから一般的には3ケ月〜6ケ月待ちます。その後人工の歯の台になる部分をインプラントに繋ぐ処置をして数週間待ってから最終的な人工の歯が入ることになります。
インプラント治療の流れ
●初診 診査・検査 コンサルテーション
↓
●1次手術 =インプラント体(フィクスチャー)の埋入=
(各自の骨の状態により3ケ月〜6ケ月経過)
↓
●2次手術 =インプラントヘッドの口腔内露出、アバットメントの連結=
(インプラントと顎の骨が一体になったらインプラントに支台装置の設置)
↓
●印象(歯肉の型取り)/暫間上部構造/最終上部構造
(印象〜最終上部構造Setで数週間で完成・終了)
↓
●フォローアップ/メインテナンス・プログラム
(その後メインテナンスの為の定期検診を実施していきます)
 |
初診
診査・検査 コンサルテーション |
 |
インプラント埋入
インプラント体(フィクスチャー)の埋入=
(各自の骨の状態により3ケ月〜6ケ月経過) |
 |
アベットメント装着
インプラントヘッドの口腔内露出、アバットメントの連結=
(インプラントと顎の骨が一体になったらインプラントに支台装置の設置) |
 |
終了時
印象(歯肉の型取り)/暫間上部構造/最終上部構造
(印象〜最終上部構造Setで数週間で完成・終了)
↓
フォローアップ/メインテナンス・プログラム
(その後メインテナンスの為の定期検診を実施していきます) |
インプラントに関する Q&A
Q:インプラントは誰にでもできるのでしょうか?
A:年齢的には通常成長期が終わってからが対象になります。また健康であれば年齢に上限はありません。ただし、糖尿病や全身疾患などのある方は状況によって異なりますので予めご相談下さい。
Q:手術が不安なのですが...
A:インプラントは専用の器具で精密に外科処置をしますので、一般的には歯を抜くよりもあとの治りが良好です。もちろん麻酔をかけますので痛くはありません。
Q:治療が終わるまでの期間と費用はどれ位ですか?
A:治療期間は個人の状態により様々ですが、インプラントを埋入する処置をしてから3ヶ月から6ヶ月待ちます。その後、人工歯の台になる部分をインプラントに繋ぐ処置をして数週間待ってから、最終的な人工歯が入り完成となります。
費用はインプラント埋入から人口歯装着まで、手術料(骨増生術)込みで1本505,000円(税込)〜となりますが事前に検査・お見積もりをしてコンサルさせていただきます。尚、多数歯4本以上の場合はさらにお安くなりますので、ご相談ください。
Q:従来の治療法との違いは?またインプラントのメリットを教えて下さい
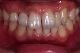
A:欠損歯がある場合の従来の治療法は、両隣の歯を削って土台とする「ブリッジ」または金属で固定する「入れ歯」がありますが、これらの治療法は土台となる歯に負担がかかったり、入れ歯に違和感を感じたり入れ歯が動いたりする場合があります。しかし、インプラントは骨にしっかり固定されるので、自分の歯に近い感覚で物を噛んだり話したりできます。また、残っている歯に負担が少ない治療法です。
Q:なぜ、メインテナンスが必要なの?
A:インプラントはチタンでできていますから虫歯にはなりませんが、歯周病にかかりやすい為、セルフプラークコントロールの他に、プロのメインテナンスでの定期的口腔衛生と予防をしていく必要があるのです。
|