歯列矯正治療では、歯並びだけでなく正常な鼻呼吸が出来るような適正な咬合位を求めていきます。ことにより、なるべく歯を抜かないで治療するような方法で行います。

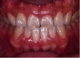
【治療前】
前歯の反対咬合が
認められます。

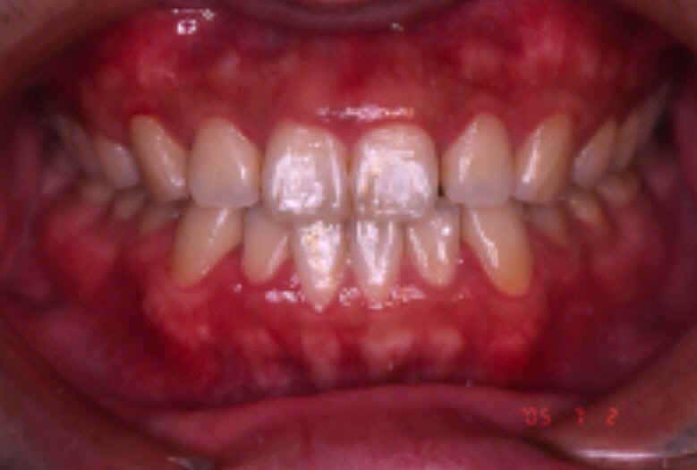
【治療後】
前歯の反対咬合が改善され
噛み合わせの適正な位置関係
が確立しました。







歯周病・インプラント・一般診療・顎関節症・審美治療・咬合なら東京渋谷の武田歯科医院におまかせください
Copyright(c) 2007 TAKEDA DENTAL CLINIC All rights reserved.