歯並びや歯の形、色及び歯肉の形態を整形することにより、患者様に合った審美修復治療を行うことにより、個性的で美しい笑顔を創り出します。

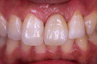
歯肉辺縁部の歯根露出部をオールセラミックスクラウンで修復

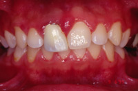
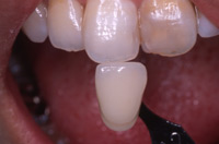
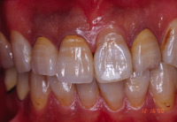
左上1番歯の変色歯をオールセラミックスラウンにて修復

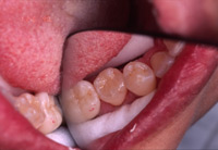
小臼歯のう蝕をオールセラミックスクラウンにて修復

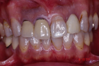
前歯部の歯肉炎を改善して、オールセラミックスクラウンにて修復








歯周病・インプラント・一般診療・顎関節症・審美治療・咬合なら東京渋谷の武田歯科医院におまかせください
Copyright(c) 2007 TAKEDA DENTAL CLINIC All rights reserved.